
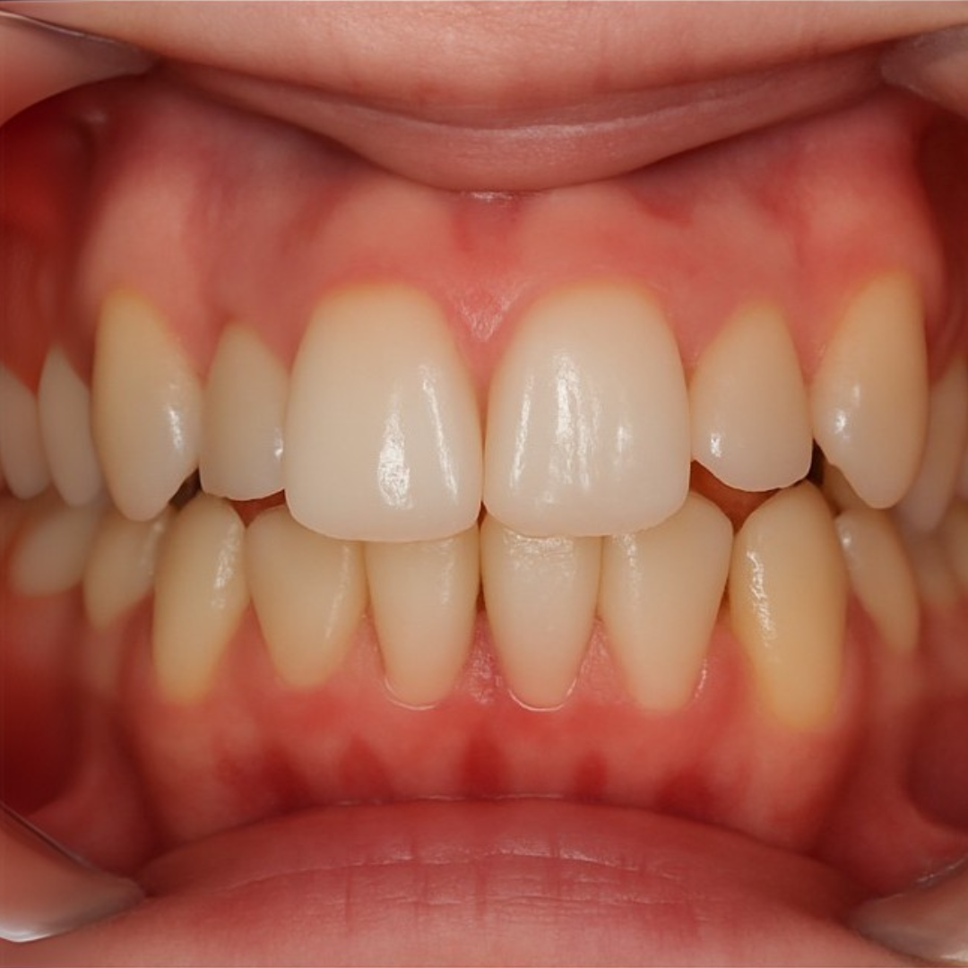
Atrévete a que te saquen una sonrisa

Los alineadores SMILEFORM se usan 22 horas al día, retirándolos solo para comer. No se deben usar mientras se come para evitar manchas, restos de comida y malos olores, asegurando comodidad e higiene óptimas.

Más del 90% del éxito del tratamiento depende del uso correcto por parte del paciente, quien debe asumir la responsabilidad diaria para asegurar los resultados y la finalización adecuada.

En caso de rotura del alineador, se recomienda no utilizarlo, contactar inmediatamente con la clínica dental y, si es posible, emplear el alineador previo hasta recibir el reemplazo correspondiente, evitando adelantar etapas del tratamiento.

La limpieza de los alineadores SMILEFORM es sencilla: utilice el cepillo soft proporcionado para cuidar férulas y encías. Evite agua caliente para prevenir deformaciones. Desinfecte sumergiéndolos 5 minutos en agua con lejía al 2%, luego enjuague bien. Guárdelos siempre en su estuche para evitar pérdidas o daños.
Sobre nosotros
En SMILEFORM, ofrecemos tratamientos de la más alta calidad, cuidando cada detalle para garantizar los mejores resultados. Nos caracterizamos por una respuesta rápida, un trato cercano y totalmente personalizado, adaptándonos a las necesidades de cada paciente. Además, contamos con disponibilidad inmediata para que empieces tu tratamiento sin esperas.
Resolvemos problemas empresariales, adoptamos un enfoque consultivo en cada compromiso con el cliente y encontramos soluciones prácticas que ayudarán a tu organización a lograr los mejores resultados empresariales.


SMILEFORM
Somos un equipo especializado en ortodoncia invisible en Alicante, comprometido con ofrecer tratamientos de excelencia, atención al detalle y un servicio totalmente personalizado. Nuestra pasión es transformar sonrisas combinando tecnología de vanguardia, una respuesta rápida y un trato cercano que te hará sentir acompañado en cada etapa. Con disponibilidad inmediata, estamos aquí para ayudarte a conseguir la sonrisa que siempre has querido, con la máxima calidad y confianza.
SMILEFORM
1. Pide tu revisión ortodóntica gratuita.
2. Haremos un estudio y una valoración personalizada.
3. Empieza tu tratamiento.